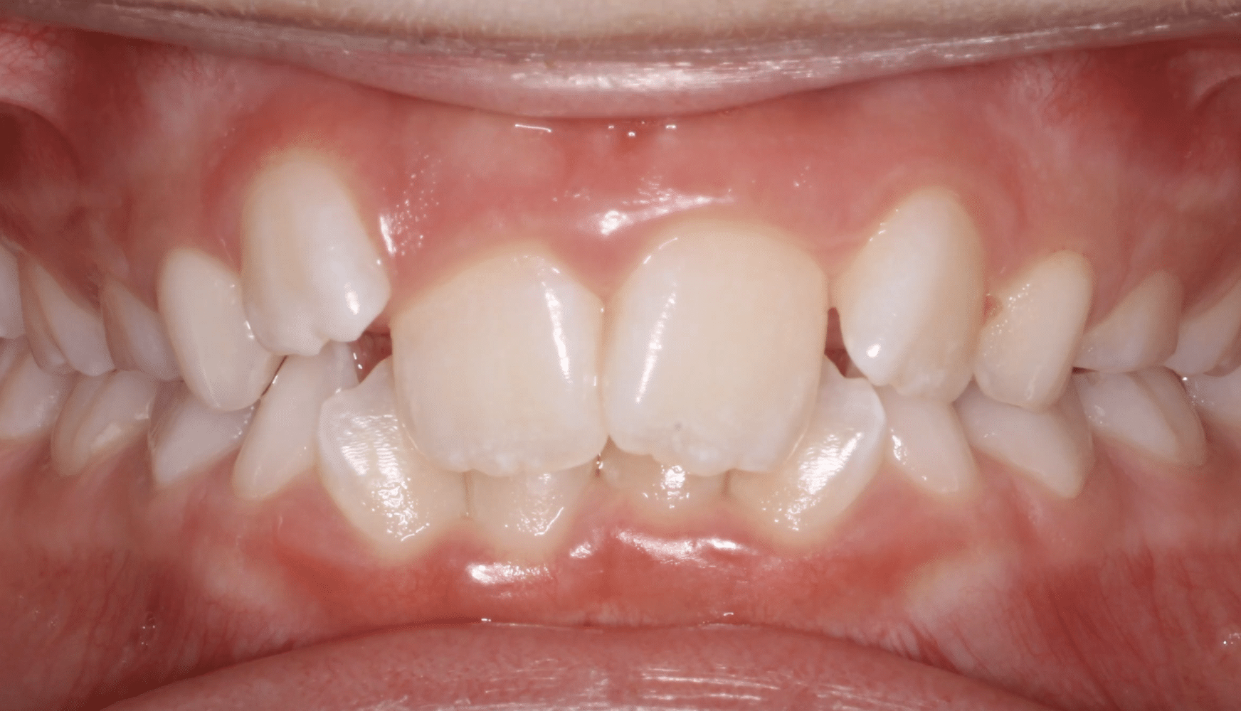
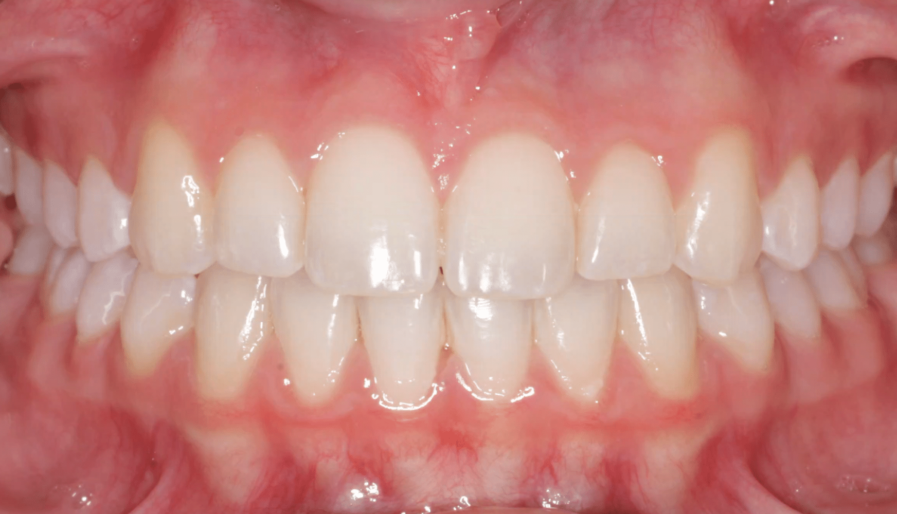
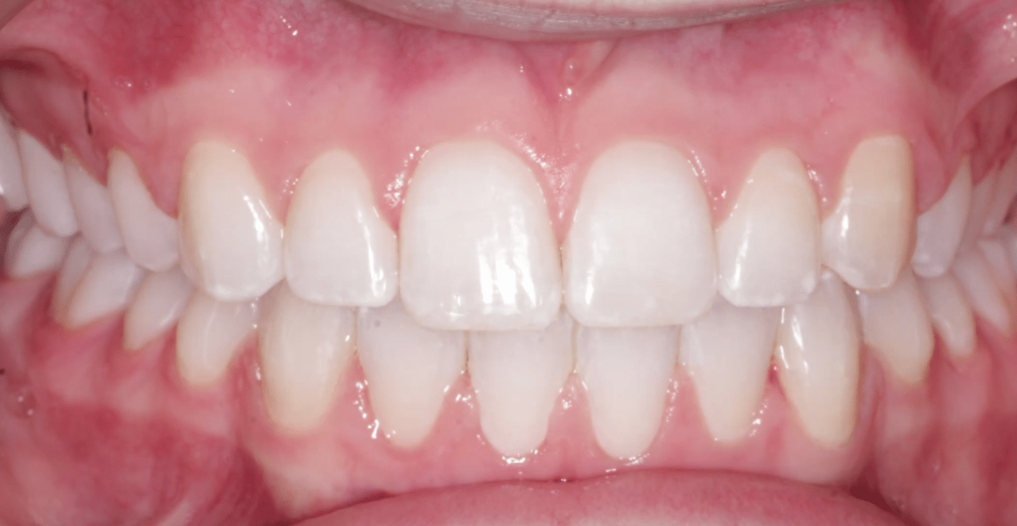
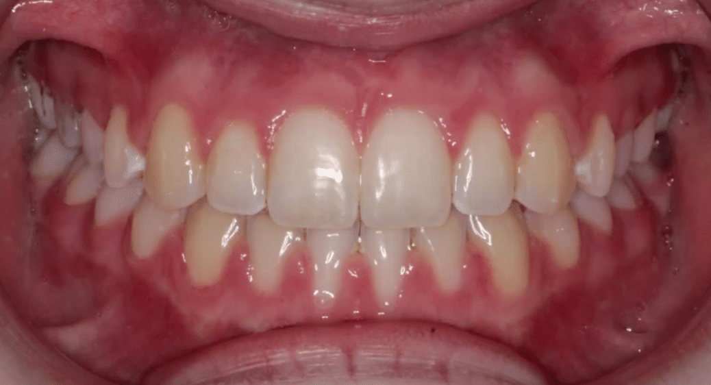
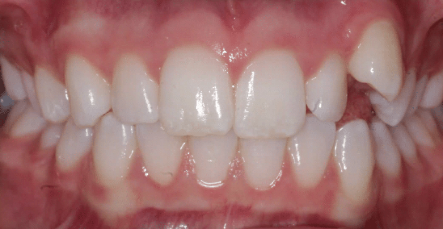
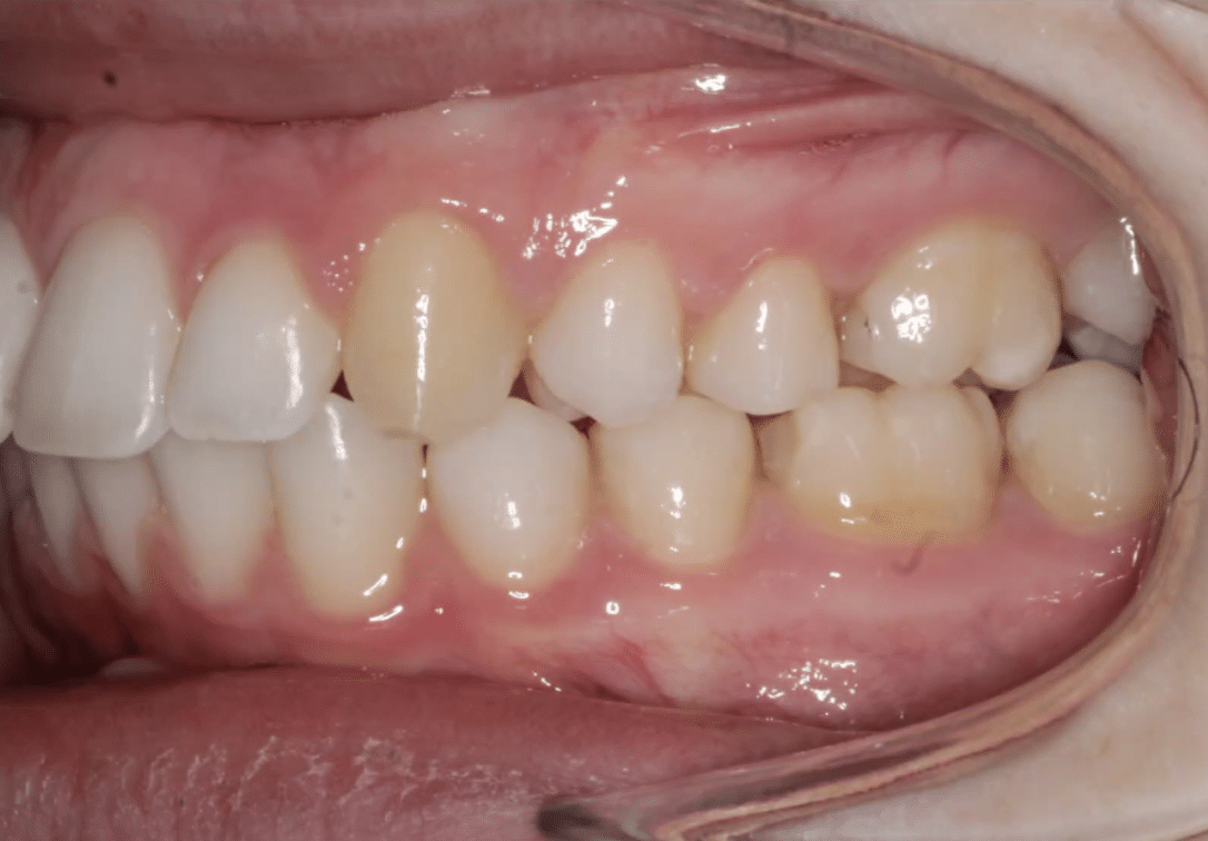
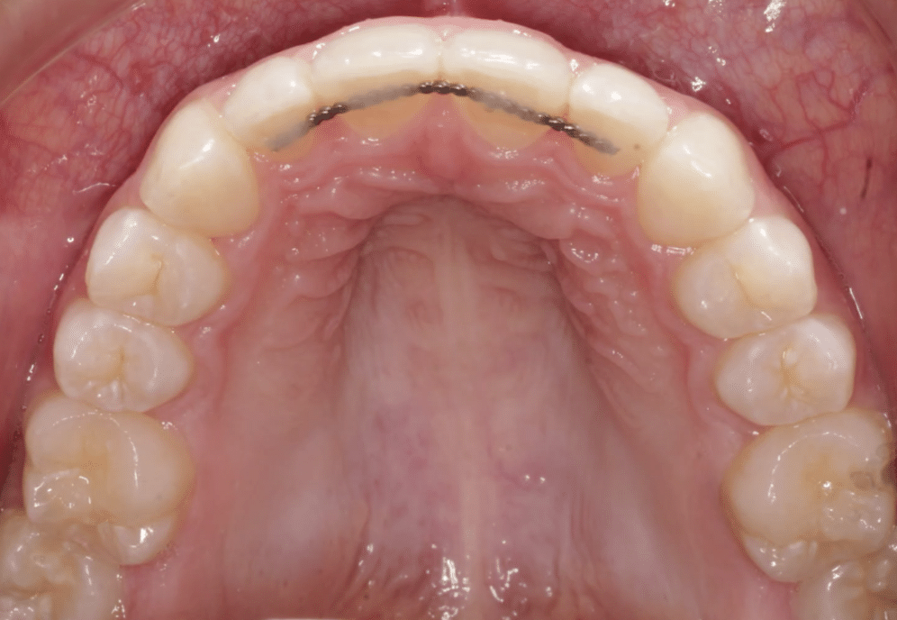
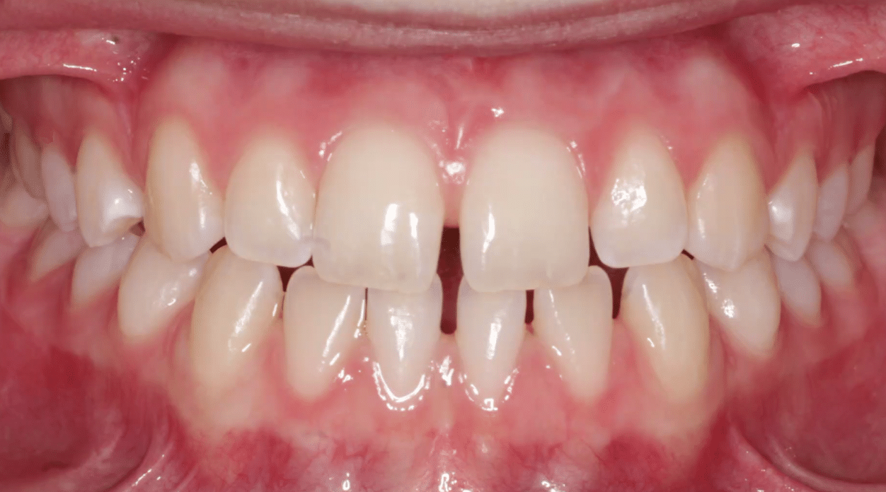
Before and After Orthodontic Treatment

At Mountain View Orthodontics, we proudly showcase smile transformations for children, teens, and adults. Whether it’s traditional braces or Invisalign clear aligners, our personalized approach delivers beautiful, confident smiles for every age. Explore how our expert care creates stunning results for all stages of life and see what’s possible with the right orthodontic treatment!