Orthodontic problems can affect anyone – in fact, our teeth are almost never naturally perfect. Orthodontics is not just about improving the appearance of the smile, properly done orthodontic treatment can frequently improve how the teeth function and the long term health of the teeth and mouth. We are living longer and keeping our teeth longer which makes maintaining the health of the teeth even more important. Malocclusion, or a “bad bite”, can cause problems with chewing, oral hygiene, speaking, and aesthetics. Teeth that do not fit together properly often wear more quickly and unevenly. They may be more likely to fracture and/or have gum recession. A bad bite can be genetic, or can be caused by thumb sucking, dental disease, poor dental hygiene, accidents, birth defects or other medical conditions.
Being educated about the orthodontic problem you or your child may have is the first step to correcting it. Dr. Baumgaertel and Dr. Beckwith have nearly 50 years of combined experience in correcting all of these problems. With orthodontic treatment performed by our doctors, you can improve both the functionality of your bite and the appearance of your smile.
Below are some examples of the most common orthodontic concerns. Patients frequently have a combination of these bite problems.
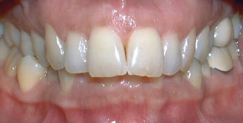
Upper Front Teeth Protrusion
The appearance and function of your teeth are impacted by this type of bite. It is characterized by the upper teeth extending too far forward or the lower teeth not extending far enough forward. The upper front teeth are more likely to be fractured from trauma with this type of malocclusion.

Overbite
The upper front teeth hide most or all of the lower front teeth when biting down. This generally results in increased tooth wear, sometimes causing the lower front teeth to bite into the roof of the mouth.

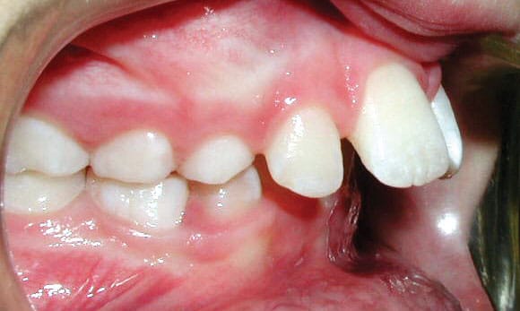
Crossbite
The upper teeth sit inside the lower teeth which may cause tooth fracture, tooth wear, and/or gum recession. When the upper side teeth fit inside the lower teeth (bottom image), the jaw is often forced to grow “crooked” which results in facial asymmetry and possible TMJ problems later.


Openbite
Proper chewing is impacted by this type of bite, in which the upper and lower front teeth do not overlap. Openbite may cause a number of unwanted habits, such as tongue thrusting. The back teeth wear more with an openbite since they are the only teeth that contact. This type of bite makes it difficult to bite the lettuce out of a sandwich

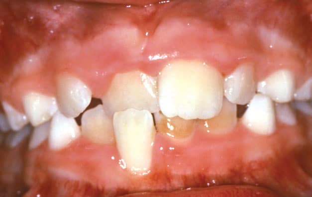
Crowding
Crowding occurs when teeth have insufficient room to erupt from the gum. Crowding can often be corrected by expansion, and many times, tooth removal can be avoided. Crowded teeth are more difficult to properly clean and often cause an aesthetic issue for the patient.

Spacing
Spacing problems may be caused by missing teeth, or they may only be a cosmetic or aesthetic issue.

Dental Midlines not Matched
This type of problem is caused when the back bite does not fit and match appropriately, which may negatively impact proper jaw and dental function. If this type of malocclusion is corrected early enough, the jaw growth will frequently even out allowing the midlines to match more closely.

Underbite
In an underbite, the lower jaw extends out, causing the lower front teeth to sit in the front of the upper front teeth. This leaves the front teeth more at risk for tooth wear and fracture. This type of bite is best corrected at a young age.
